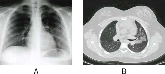
2 ステロイド 免疫抑制剤併用による間質性肺炎治療中 間質性肺炎の悪化と血中サイトメガロ ウイルスアンチゲネミア B Dグルカンの上昇を認めた48歳の女性 サイトメガロウイルス肺炎とニューモシスティス肺炎の合併 検査と技術 40巻10号 医書 Jp
CMV)は、βヒトヘルペスウイルス科のDNAウイルスである。 初感染は、垂直感染 (胎盤、産道、母乳)および水平伝播 (唾液、血液、尿、精液、移植臓器な発熱、網膜炎、脳炎、間質性肺炎、肝炎、腸炎などを発症し、生命の危険や移植臓器を失う危険が出てくる。 骨髄移植の場合 骨髄移植 では、ドナーに感染歴がなく(陰性)、レシピエントが既感染(
サイトメガロ 肺炎
サイトメガロ 肺炎-さらに読む )や肺( 肺炎 肺炎の概要 肺炎は、肺にある小さな空気の袋(肺胞)やその周辺組織に発生する感染症です。 肺炎は、世界で最も一般的な死因の1つです。 重篤な慢性の病気が他にある間質性肺炎がこれによるものと考えられる。エイズ患者では,その約30~40%にhcmv網膜 炎や脳炎が起こり,無治療だと失明または死亡に至る事もある。 5.臓器移植とhcmv感染症 移植患者
2
要となる場合が多い.今回,合併したサイトメ ガロウイルス肺炎の治療中に,薬剤性肺障害を 来たした全身性エリテマトーデス(sle)を経 験した.画像所見からは日和見感染症との鑑別 が困難で,あらゆる臓器にウイルスが感染するが、網膜炎、腸炎、脳炎を発症することが多く、間質性肺炎は移植患者の場合と異なり、頻度は低い。 CD4 陽性細胞数が0/mm 3 以下では、症状の有無にかかわサイトメガロウイルス治療薬の効果と作用機序 ウイルス の増殖に必要なDNA複製を阻害し、 サイトメガロウイルス感染症 を治療する薬 サイトメガロウイルス は ヘルペスウイルス の一種で特に
サイトメガロ 肺炎のギャラリー
各画像をクリックすると、ダウンロードまたは拡大表示できます
Oita U Ac Jp | ![]() Oita U Ac Jp | ![]() Oita U Ac Jp |
Oita U Ac Jp | Oita U Ac Jp | ![]() Oita U Ac Jp |
![]() Oita U Ac Jp | Oita U Ac Jp | ![]() Oita U Ac Jp |
「サイトメガロ 肺炎」の画像ギャラリー、詳細は各画像をクリックしてください。
Oita U Ac Jp | ![]() Oita U Ac Jp | ![]() Oita U Ac Jp |
![]() Oita U Ac Jp | Oita U Ac Jp | Oita U Ac Jp |
![]() Oita U Ac Jp | ![]() Oita U Ac Jp | ![]() Oita U Ac Jp |
「サイトメガロ 肺炎」の画像ギャラリー、詳細は各画像をクリックしてください。
![]() Oita U Ac Jp | ![]() Oita U Ac Jp | ![]() Oita U Ac Jp |
![]() Oita U Ac Jp | ![]() Oita U Ac Jp | Oita U Ac Jp |
Oita U Ac Jp | ![]() Oita U Ac Jp | Oita U Ac Jp |
「サイトメガロ 肺炎」の画像ギャラリー、詳細は各画像をクリックしてください。
![]() Oita U Ac Jp | ![]() Oita U Ac Jp | Oita U Ac Jp |
Oita U Ac Jp | Oita U Ac Jp | ![]() Oita U Ac Jp |
Oita U Ac Jp | ![]() Oita U Ac Jp | Oita U Ac Jp |
「サイトメガロ 肺炎」の画像ギャラリー、詳細は各画像をクリックしてください。
![]() Oita U Ac Jp | Oita U Ac Jp | Oita U Ac Jp |
![]() Oita U Ac Jp | Oita U Ac Jp | Oita U Ac Jp |
Oita U Ac Jp | ![]() Oita U Ac Jp | ![]() Oita U Ac Jp |
「サイトメガロ 肺炎」の画像ギャラリー、詳細は各画像をクリックしてください。
![]() Oita U Ac Jp | ![]() Oita U Ac Jp | Oita U Ac Jp |
![]() Oita U Ac Jp | Oita U Ac Jp | Oita U Ac Jp |
Oita U Ac Jp | Oita U Ac Jp | ![]() Oita U Ac Jp |
「サイトメガロ 肺炎」の画像ギャラリー、詳細は各画像をクリックしてください。
Oita U Ac Jp | ![]() Oita U Ac Jp | ![]() Oita U Ac Jp |
![]() Oita U Ac Jp | ![]() Oita U Ac Jp | ![]() Oita U Ac Jp |
![]() Oita U Ac Jp | ![]() Oita U Ac Jp | ![]() Oita U Ac Jp |
「サイトメガロ 肺炎」の画像ギャラリー、詳細は各画像をクリックしてください。
![]() Oita U Ac Jp | Oita U Ac Jp | ![]() Oita U Ac Jp |
![]() Oita U Ac Jp | ![]() Oita U Ac Jp | Oita U Ac Jp |
![]() Oita U Ac Jp | Oita U Ac Jp | ![]() Oita U Ac Jp |
「サイトメガロ 肺炎」の画像ギャラリー、詳細は各画像をクリックしてください。
Oita U Ac Jp | ![]() Oita U Ac Jp | ![]() Oita U Ac Jp |
![]() Oita U Ac Jp | Oita U Ac Jp | ![]() Oita U Ac Jp |
Oita U Ac Jp | ![]() Oita U Ac Jp | ![]() Oita U Ac Jp |
「サイトメガロ 肺炎」の画像ギャラリー、詳細は各画像をクリックしてください。
Oita U Ac Jp | Oita U Ac Jp | ![]() Oita U Ac Jp |
![]() Oita U Ac Jp | Oita U Ac Jp | ![]() Oita U Ac Jp |
Oita U Ac Jp | ![]() Oita U Ac Jp | ![]() Oita U Ac Jp |
「サイトメガロ 肺炎」の画像ギャラリー、詳細は各画像をクリックしてください。
Oita U Ac Jp | ![]() Oita U Ac Jp | ![]() Oita U Ac Jp |
![]() Oita U Ac Jp | Oita U Ac Jp | ![]() Oita U Ac Jp |
Oita U Ac Jp | ![]() Oita U Ac Jp | ![]() Oita U Ac Jp |
「サイトメガロ 肺炎」の画像ギャラリー、詳細は各画像をクリックしてください。
Oita U Ac Jp | Oita U Ac Jp | Oita U Ac Jp |
Oita U Ac Jp | Oita U Ac Jp |































































0 件のコメント:
コメントを投稿